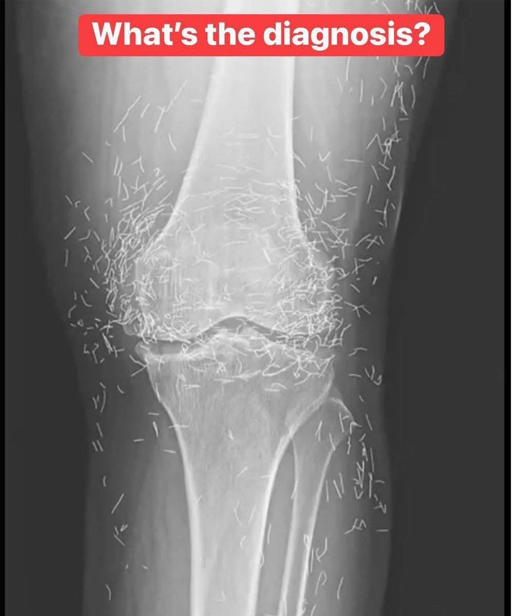
X-Ray Reveals Hundreds of Gold Needles in Woman’s Knees

Doctors examining a 65-year-old South Korean woman’s X-ray were shocked to find hundreds of tiny gold acupuncture needles embedded in her knees.

Suffering from osteoarthritis, she had turned to acupuncture after medications caused stomach issues.

Her practitioner had intentionally left the gold needles in her tissue for continued stimulation. However, experts warn this can cause inflammation, abscesses, infection, and interfere with imaging scans like X-rays or MRIs.

While acupuncture is popular for joint pain relief and gold thread treatments are common in Asia, scientific evidence of its effectiveness remains limited. Despite risks, millions still use acupuncture worldwide for chronic pain.

Related Posts

Elderly man D!es inside motel after drinking “blue” and went two young gir… See more

room after reportedly consuming a drink referred to as “blue.” According to early reports, the man had arrived at the location hours earlier in the company of…

Police find elderly man who had been missing for 7 months; he was burie… See more

Authorities have confirmed a tragic end to a seven-month search for an elderly man who had mysteriously disappeared from his home. The man was initially reported missing…

Man, 71, meets girl from the internet and ends up a victim

A 71-year-old man who believed he was meeting a girl he had spoken to online instead found himself the target of a troubling situation. According to authorities,…

Police find elderly woman who had been missing for 7 months; he was burie… See more

Police have announced a significant breakthrough in a months-long missing persons case after locating an elderly woman who had been unaccounted for for seven months. Authorities launched…

A woman who was looking for a boyfriend in the internet chats ended up being… See more

A woman who had been openly sharing her hopes of finding a genuine boyfriend in an online group became the center of unexpected attention after her story…

She was only 5 years old like her mother and partner could do this to her… See More

The situation involving a young child has drawn widespread attention, leaving many people reflecting on how important compassion and responsibility are within any family. When a little…

Leave a Reply

Your email address will not be published. Required fields are marked *